成功戒烟后,肺还能恢复正常吗?建议:戒烟别超过这个岁数
成功戒烟后,肺还能恢复正常吗?建议:戒烟别超过这个岁数
声明:本文内容均是根据权威医学资料结合个人观点撰写的原创内容,在今日头条全网首发72小时,感谢各位看官点击支持原创,文末已标注文献来源及截图,为了方便大家阅读理解,部分故事情节存在虚构成分,意在科普健康知识,请知悉。
老宋今年57岁,烟龄超过30年,是村里出了名的“老烟枪”。年轻时,他身体壮实,觉得抽烟不过是小问题,但最近,他开始感觉气短,爬几级台阶就喘得厉害。

一次村里组织免费体检,医生告诉老宋,他的肺部已经出现明显损伤,还可能有慢性阻塞性肺病的迹象。这话让老宋心里一沉,他开始琢磨:如果现在戒烟,真的还有意义吗,是不是我的肺已经“黑”到不能修复了?戒烟到底能不能让我的健康有所改善?…

一、吸烟如何摧毁你的肺部?
吸烟就像在给肺部“埋地雷”,每一口烟雾都在一点点侵蚀它的健康,香烟里的7000多种化学物质中,有上百种是已知的致癌物,还有数千种对人体有害的化合物。
一旦吸入这些物质,肺部会立刻承受它们的冲击。

首先,香烟烟雾会直接破坏肺部的纤毛,这些纤毛是肺部的“清洁工”,它们的任务就是将灰尘、细菌和其他杂质从气道扫出去。
但香烟中的有害物质会让这些纤毛变得迟缓甚至停止摆动,无法完成它们的工作,就好比街道的清扫工罢工了,垃圾堆积得越来越多。纤毛的功能一旦受损,吸入的杂质就会越积越深,最终堆积在肺部,形成难以清除的毒素沉积。

香烟中的焦油是肺部的另一个大敌,它会像涂层一样覆盖在肺泡表面,阻碍正常的气体交换过程。简单来说,肺泡是吸收氧气、排出二氧化碳的核心“设备”,可一旦被焦油覆盖,这些肺泡的工作效率会大打折扣。
烟雾中的一氧化碳也是杀手之一,它会直接与血液中的血红蛋白结合,抢占氧气的“座位”。这样一来,身体的各个器官就像被限制供氧一样,开始进入慢性缺氧状态,这会导致肺部加速老化。

长期吸烟还会对肺组织造成结构性的破坏,正常的肺部应该是柔软有弹性的,就像气球一样能够自由膨胀和收缩。但香烟中的化学物质会让肺组织逐渐变硬,肺泡壁开始永久性地破裂,这种破坏无法修复,直接导致慢性阻塞性肺疾病(慢阻肺)的发生,让呼吸变得越来越困难。

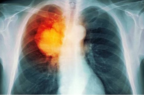
健康的肺部是淡红色的,充满生机,而长期吸烟的肺部则会被杂质染成深黑色,甚至伴有硬化的斑块。这个黑色并不是简单的污渍,而是毒素的沉积,证明着肺部已经被烟雾侵蚀得无法自洁。
每一口烟雾吸入体内,都会成为肺部的负担,日积月累就像一场慢性的内部战争。总之,吸烟不仅毁掉肺的健康,还会带走它的生命力,让整个身体陷入危机之中。

二、什么时候戒烟最好?
戒烟的最佳时间,就像播种一样,越早越好,但晚了也比不做强,研究表明,35岁之前戒烟,肺部的恢复潜力最大,甚至可能接近正常状态。
年轻时戒烟,身体的修复能力强,自我代谢效率高,受损的肺组织会更快地得到改善。相比之下,35岁之后戒烟,尽管肺部已经积累了不少损伤,但仍然可以通过戒烟减少进一步的恶化。

戒烟后,身体的变化是逐步而明显的,戒烟后血压和心率就会开始恢复正常,因为香烟中的尼古丁会刺激肾上腺素分泌,导致血管收缩、心跳加速,一旦停止吸烟,这种外界干扰被移除,身体的循环系统会迅速调整,重新回到平稳状态。

戒烟时间越长,身体的改善也越明显,一年后,心脏病的发病率会减少一半,这是因为血管逐渐恢复弹性,血栓风险降低。戒烟五年后,研究发现,肺癌风险显著下降,比持续吸烟者减少近40%,如果坚持十年以上不吸烟,某些疾病的发病率甚至可以接近非吸烟者的水平。
当然,很多人担心自己戒烟晚了,是不是肺就“没救”了。实际上,身体的修复机制是终身有效的,只不过随着年龄增长,修复速度会放缓,但功能上的改善却是切实可见的。

而关于“越早越好”这件事,并不仅仅是针对肺部。吸烟者的身体各个系统都会受到伤害,心脏、肾脏、大脑甚至皮肤都会被烟草中的有害物质侵蚀。越早戒烟,这些器官的恢复时间越长,未来的健康隐患也会越少。
戒烟的最佳时间不仅与身体状况有关,还和心理准备紧密相关,选择在健康状况还不错的时候戒烟,能避免一些不必要的痛苦。

三、戒烟的正确姿势
有人认为逐步减少吸烟量更温和,不容易产生强烈的不适感;也有人认为干脆利落地戒掉更有效,不给自己任何借口复吸,这有什么区别。
逐步减量听起来是个好主意,尤其是对于烟瘾较重的人。每天减少几根香烟,看似循序渐进,不会一下子让身体“崩溃”。但问题在于,逐步减量过程中,吸烟的习惯依然存在,大脑的尼古丁依赖并没有被彻底切断。这就像试图慢慢戒掉甜食,但每天依然会吃一点,最终很容易因为一时的放纵而复吸。

研究发现,逐步减量的成功率比立即停吸要低,这并不是说减量戒烟无效,而是需要更强的意志力和更长的时间才能彻底戒掉。
许多人在逐步减量过程中,会因为各种理由“暂时停下进度”或“奖励自己抽一根”,这样往往容易前功尽弃。

立即停吸的方式虽然看似激烈,却在很多研究中被证实成功率更高,这种方式的关键在于彻底切断了尼古丁的摄入,大脑不再受到持续的刺激和依赖。这种方法考验的是短时间内的决心,只要能够坚持几周,大多数人就能熬过最难受的阶段。

对于吸烟者来说,不管选择哪种方式,最重要的是“戒烟”这个目标本身。一根烟不抽才是真正的戒烟,不要给自己留任何妥协的空间。一旦下定决心,就需要找到适合自己的方法,无论是通过立即停吸的“斩断式”方式,还是循序渐进的减量过程,成功的关键在于坚持。
每一次选择不抽烟,都是对自己身体的善待。再困难的过程,只要熬过去,奖励就是更轻松的呼吸、更健康的身体和更长久的未来。

四、成功戒烟的奖励清单
戒烟就像给身体按下“重启键”,从你放下香烟的那一刻起,身体就开始悄悄给你发放“健康奖励”。
第一份奖励来自心脏和血管,香烟中的尼古丁会让血管收缩、心跳加快,而当它退出你的身体,血管会慢慢放松,血液流动变得更加顺畅。长时间戒烟后,心血管系统的压力减少,心脏病的风险会显著降低。、

接下来的奖励属于肺部,戒烟后,血液中的一氧化碳浓度开始下降,氧气供应重新占据主导地位。这种变化会让你感到呼吸更轻松,身体更有活力,再往后,肺部的纤毛开始恢复工作能力,积累的毒素和杂质会逐渐被清除,让你的呼吸变得更加顺畅、深沉。
胃和肠道也会在戒烟后享受到好处,吸烟会刺激胃酸分泌过多,引发胃溃疡、胃炎等问题。戒烟后,胃黏膜的刺激减少,消化系统能够逐渐恢复平衡。

皮肤是一个直观的观察点,吸烟的人容易出现皮肤暗沉、干燥,因为香烟中的有害物质会破坏胶原蛋白和弹性蛋白,导致皮肤加速老化。戒烟后,皮肤的血液循环改善,氧气和养分的供应增加,慢慢会恢复光泽,变得更有弹性。虽然时间需要稍长,但每一天的坚持都会让你看到细微的变化。

再看口腔和牙齿。吸烟让牙齿染上顽固的黄渍,导致口腔异味甚至牙周病。戒烟后,口腔的健康环境得以修复,牙龈出血的情况减少,牙齿也不再继续受害,长期坚持下去,牙齿和口腔的健康状况会更接近不吸烟时的水平。

更重要的是,戒烟让你摆脱了烟草对家庭和环境的负面影响,没有了二手烟的威胁,家人特别是儿童的健康风险大幅降低。你的生活空间不再充满烟草的气味,也不会因为吸烟花费大量的时间和金钱。
坚持戒烟的每一天,都是给身体的一份礼物,这份奖励清单还会随着时间不断更新,每一条都提醒你,摆脱香烟是你做出的最明智的决定。

结语
戒烟,是一种对自己负责的选择,更是给身体重生的机会。从吸烟对肺部和全身的摧毁,到戒烟后身体逐步的恢复,这是一场逆转健康轨迹的旅程。
吸烟带来的不是短暂的满足,而是长期的伤害,无论是对肺部的黑化、纤毛的损伤,还是心血管、胃肠道、皮肤的全面侵害,香烟都在悄悄剥夺你的健康和活力。

而选择戒烟,哪怕是在烟龄长达几十年的情况下,都能为身体带来改善,成功戒烟不仅仅是为了肺部的健康,更是为了全身的全面获益。这些都是实实在在的奖励,提醒着你:香烟可以放弃,健康才是值得追求的目标。

无论你是刚刚起步还是已经戒烟成功,这都是一场值得坚持的战斗。记住,戒烟从来不晚,而现在就是最好的时机,你的健康,掌握在你自己的手中!
参考信息:
戒烟真的有用!看看从戒烟20分钟到10年,你的身体会有什么变化
2025-05-31 徐孟医生疼痛工作室
成功戒烟的人,肺能否恢复如初?撑住这些戒烟反应,就没问题
2024-06-20 爆炸营养彭鑫蕊
-
- 工具厂商转行做短剧,闯入品类8强、实现9000万美元ARR
-
2025-11-14 13:04:30
-
- 白崇禧的10个子女罕见留影,后代人丁兴旺,一家人非常幸福!
-
2025-11-14 13:02:15
-
- miui相机在哪里
-
2025-11-14 13:00:00
-
- 对空对地双重超级杀手12.7毫米高射机枪:参战40年的中国54式
-
2025-11-14 12:57:45
-
- 四川与贵州的区划变动:四川省的6个县,为何划归贵州省?
-
2025-11-14 12:55:29
-
- 邓萃雯七部电视剧代表作,四奶奶九姑娘最经典
-
2025-11-14 12:53:15
-
- 爱好和平?世界上竟然有21个国家没有军队
-
2025-11-14 12:51:00
-
- 国内外41种不常见的奇葩水果你都知道哪些?吃过哪些?
-
2025-11-14 12:48:44
-
- 上海中心城区社会面清零有序开放(上海6个区社会面基本清零)
-
2025-11-14 12:46:29
-
- 十句话影评-《三人行》:杜琪峰胡乱拍,钟汉良拿影帝,灾难啊!
-
2025-11-14 12:44:14
-
- 花都区热门初中大盘点!看完哪所会是你心中的最佳选择呢?
-
2025-11-14 12:41:59
-
- 李晨张馨予同房过夜 “一结婚就过去了”的张馨予:老公何洁有多
-
2025-11-14 12:39:44
-
- 比亚迪这次,很可能没问题。
-
2025-11-14 12:37:29
-
- 搞笑段子来了!
-
2025-11-13 23:38:30
-
- 支部组织生活会制度
-
2025-11-13 23:36:15
-
- 危险!胎儿脐带扭转 54 圈成“麻花”
-
2025-11-13 23:34:00
-
- 推荐三本好看的校园言情,后劲超大的《酸梅》《耀眼》《忍冬》
-
2025-11-13 23:31:45
-
- 范冰冰新电影预告曝光,38岁仍扎麻花辫,眼神魅惑撩人红唇太惊艳
-
2025-11-13 23:29:31
-
- 银川市可以发展成为世界一线城市
-
2025-11-13 23:27:16
-
- 女明星陪酒真的存在吗?下面网友的真实分享,简直让我大开眼界
-
2025-11-13 23:25:01



紫色的高端叫法(紫色的唯美别称)
去除照片上衣服的软件(手机一键删除女生衣服的效果)
网络流行语孤寡是什么(网络词语孤寡是什么意思)
水龙头怎么安装(水龙头花洒怎么安装)
太空探索的好处和坏处 太空探索的好处和坏处有哪些
舅公与舅舅的区别 舅舅与舅父有何区别
宫崎骏动漫《悬崖山上的金鱼姬》高清锁屏壁纸
防火材料有几个等级分类 防火材料有几个等级标准
葛晓慧(2009年中国模特新面孔选拔大赛冠军)
冲绳岛属于哪个国家